Neurosurgery notes/Odontoid dysgeneses

Odontoid dysgeneses

View Details
Status
Done

Embryology

  • The making of any part of the vertebral column requires the successful completion of three developmental phases:
      1. Membranous phase: mesodermal primordium has to be properly formed and, in some cases, assembled ;
      1. Cartilaginous phase: the mesodermal primordium undergoes chondrification
      1. Osseous phase: ossification takes place within the cartilaginous mould to complete the end product.
      1. In the case of the dens–axis, there is a fourth phase which involves bony fusion of the upper and lower dental synchondroses

Pathology

  • As with other types of bony malformations of the CVJ, four main developmental errors are encountered in odontoid anomalies:

Hyperplasia of primordium

 

Aplasia/hypoplasia of primordium

Aplasia/hypoplasia of the axial sclerotome of proatlas and first cervical sclerotome (Odontoid hypogenesis/ Agenesis)

  • Complete agenesis of both dental components (apical and basal dental segments) is rare and usually occurs in the context of collagenopathy syndromes such as
    • Spondyloepiphyseal
    • Spondylometaphyseal dysplasias
  • Agenesis or hypogenesis of just the basal segment results in a stumpy dental pivot with a floating apical ossicle
notion image
  • Complete odontoid agenesis
      • Syndromic
        • collagenopathy or mucopolysaccharidosis such as Morquio’s disease
          • may not always be due to primordial failure since a completed cartilaginous mold of the dens has been seen in situ, where ossification was found to be defective because of the abnormal connective tissue production.
      • Nonsyndromic
        • due to aplasia or hypoplasia of centrum primordia.
      A blurry image of a person AI-generated content may be incorrect.
  • Agenesis of the apical segment is the most common variety by comparison.
      • Radiographically, the dens is short although there is usually adequate pivot height for the transverse atlantal ligament and there is thus no instability
      • Instability found in
        • floating apical ossicle
      • Treatment of symptomatic cases is usually C1–C2 fusion.
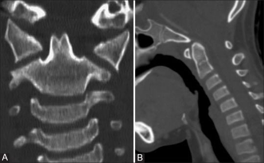
      A close-up of a scan of a human body AI-generated content may be incorrect.

Disturbance of the intervertebral boundary mesenchyme of proatlas and first two cervical sclerotome

Os Odontoideum
Ossiculum terminale
OS Avis
Apical and basal segments are separated
Basal and segments are thinly connected
The apical dental segment is attached to the basioccipital and is not fused to the main dental stem.
Disturbance of intervertebral boundary mesenchyme of C1 and C2 axial sclerotome
Disturbance of intervertebral boundary mesenchyme of Pro atlas and C1 axial sclerotome
Abnormal resegmentation of proatlas axial sclerotome
Can be unstable
Mostly Stable
Can be unstable
Can cause compression
Can cause compression
Can cause compression≈
notion image
  • Os odontoideum
    • Pathophysiology
        1. Traumatic theory
            • argue that the inferior surfaces of most os odontoideum are above the “expected base” of the normal dens, which is supposed to be below the level of the C2 lateral masses, and that there is often a “cupola” bulging cranially from the axis stump that represents the bottom half of a fractured dens
        1. Developmentalists theory
            • Vertebral primordia that have undergone aberrant development seldom evolve into the orthodox configuration of the normal phenotype, but instead become oddly shaped due to over-, under- or even erratic growth depending on the activities of local inducers
        1. Combined theory
            • of both the congenital and post-traumatic varieties, but there may also be cases with mixed aetiologies.
            • Lower dental synchondrosis failure (i.e. the mesenchyme at the C1 and C2 axial scleretome IBZ may have failed to chondrify) → cannot undergo ossification and fusion. → As the two dental components ossify on opposite sides of the C1/C2 IBZ and gain mechanical leverage → the persisting mesenchymal tissue could no longer withstand the stress caused by foetal movements → the upper part separates as the loose os odontoideum.
    • Clinical features
      • Because the TAL straps around the basal segment of the dens, os odontoideum is at least potentially unstable
      • Persistent neck pain
      • Torticollis
      • Transient quadriparesis
      • Lower cranial neuropathies
      • Recurrent brain stem strokes caused by stretching of the vertebral arteries and basilar artery embolism
    • Associated with:
      • Down syndrome
      • Morquio syndrome
      • Klippel-Feil syndromes
    • Posterior C1–C2 fusion is adequate treatment if complete reduction is achievable. If there is persistent anterior dislocation of C1, its posterior arch may have to be removed for decompression, in which case occipital C2–C3 fusion is necessary
  • Ossiculum terminale persistens
    • Pathophysiology
      • upper dental synchondrosis failure (Between Proatlas and C1 axial sclerotome) → unfused and detached apical dental segment (which comes from the proatlas centrum)
    • Usually non-syndromic although cases are seen with Morquio’s disease.
    • Clinical features
      • stable anomalies because the TAL’s anchorage is not affected
      • Deficits
        • basal dental segment is hypoplastic and the dental pivot is short.
        • Some of these are conducive to atlantoaxial subluxation and high cord compression

Disturbance of resegmentation

  • Abnormal resegmentation of pro-atlas axial sclerotome
    • Os Avis
      • Rare anomaly
      • the apical dental segment is attached to the basioccipital and is not fused to the main dental stem.
      • The pivot is thus shortened but firmly fixed to the axis centrum, where a semi-lucent line representing the lower synchondrosis marks the successful integration of the two lower dens–axis components.
      • Clinical features
        • An os avis tends to be associated with neurological deterioration
        • posterior dislocations of C1 on C2
        • extremely unstable on extension: TAL is strapped against the os and therefore moves with the skull
        • compressive symptoms
      • Treatment
        • Pure instability can be remedied with C1–C2 fusion
          • absent posterior C1 arch or an occipitalized atlas would mandate inclusion of the occiput into the fusion
        • Concomitant neural compression due to basilar impression or invagination of the opisthion may require simultaneous decompression.

Failure of midline integration of primordium

  • The bifid dens
      • Rare
      • Pathophysiology
        • Failure of midline integration of basal dental segment:
        • Lack of midline integration in the primodium of the basal dental segment → fusion deficts of the adjacent synchondrosis → detechated hemi -os and ossiculum terminale → the partition in the basal dental segment goes full length of the process to the lower synchondrosis
      • Clinical
        • Atlantoaxial instability because the central pivot is hypoplastic when bifid
        • Cord compression during flexion
          • Intermittent quadriplegia
          • Somnolence
      An x-ray of a skull AI-generated content may be incorrect.
      • Different from the “dens bicornis”:
        • in which only the tip of the dens is bicornuate and the function of the otherwise well-formed dental pivot is unaffected
        • results from aberrant distal ossification late in development
      A close-up of an x-ray of a human spine AI-generated content may be incorrect.